健康診断の検査結果ってどんな意味があるの?
それに答えるのは簡単ではありません。検査は実に奥深いのです。
同じ検査結果を見ても、普通の医師と専門家の医師では評価が違います。
専門家の医師はもっと奥深くを見ている、と考えて間違いありません。
その先生の専門性による、とも言えます。
とはいえ、あなたが疑問を持つのはもっともです。
ですので、できるだけわかりやすく、徹底的に解説したいと思います!


健康診断の検査結果ってどんな意味があるの?
それに答えるのは簡単ではありません。検査は実に奥深いのです。
同じ検査結果を見ても、普通の医師と専門家の医師では評価が違います。
専門家の医師はもっと奥深くを見ている、と考えて間違いありません。
その先生の専門性による、とも言えます。
とはいえ、あなたが疑問を持つのはもっともです。
ですので、できるだけわかりやすく、徹底的に解説したいと思います!
肥満に関しては、運動などで筋肉量が多い人では当てはまらない場合があります。特に運動をしない人での一般的な基準と考えてください。
運動をする人では体組成計を用いて、筋肉量や脂肪量など項目ごとに評価する方がいいでしょう。
また同じ肥満でも、内臓脂肪が多いタイプの方が生活習慣病の発症が高くなります(いわゆるメタボリック症候群)。腹囲は男性が85 cm以上、女性が90 cm以上で内臓脂肪が多いと判断されますが、この基準値の正当性は科学的根拠に乏しいと言われています。
腹囲が男性85 cm、女性80 cmを超えると、血糖や脂質などの検査データの異常が急激に増えるとされています。むしろ、この基準で考えた方がいいでしょう。
生活習慣病の合併はBMI 25以上でリスクが明らかに上昇し、30以上でさらに顕著になりますが、BMI 20以上になると徐々に合併率が上がっていきます。BMI 22.5以上で生活習慣病のリスクが急に上がり始めるので、生活習慣病を予防していくためには、BMI 22.5未満になるように体重をコントロールしていく必要があります。

| BMI | 体型 | 高血圧症 | 脂質異常症 | 糖尿病 |
|---|---|---|---|---|
| <18.5 | 痩せ型 | 6-9 | 8-12 | 2-4 |
| 18.5-20.0 | やや痩せ型 | 8-11 | 10-14 | 3-5 |
| 20.1-22.5 | 普通体型(前半) | 10-13 | 13-16 | 4-6 |
| 22.6-25.0 | 普通体型(後半) | 13-20 | 16-25 | 6-12 |
| 25.1-27.5 | 肥満(1度、前半) | 20-30 | 25-35 | 12-20 |
| 27.6-30.0 | 肥満(1度、後半) | 30-40 | 35-45 | 20-30 |
| ≧30.0 | 肥満(2度以上) | 40-60 | 45-60 | 30-50 |
※数値は疫学研究の傾向をもとにした概算です。
BMIが高いと生活習慣病の有病率が高くなる一方で、BMIと死亡リスクの関係を見ると、生活習慣病の有病率とは違う側面が見えてきます。
BMIが高いと死亡率は上昇しますが、低くても死亡率が上昇します。
| BMI | 死亡リスク(BMI 23.0-24.9を基準とした場合) | |
|---|---|---|
| <16.0 | 約2.0倍 | 男女ともに有意に増加 |
| 16.0-18.9 | 約1.8倍 | 男性で有意に増加 |
| 19.0-22.9 | 約1.2-1.4倍 | 男性で有意に増加 |
| 23.0-24.9 | 1.0(基準値) | 最も低い |
| 25.0-26.9 | 約1.2-1.3倍 | |
| 27.0-29.9 | 約1.6倍 | 男性で有意に増加 |
| ≧30.0 | 約2.0倍 | 男女ともに有意に増加 |
このBMIと死亡リスクの関係から、ちょっと小太りの方が長生きなので、小太りぐらいの体型を推奨する人達がいます。ですが、小太りだと生活習慣病が出てきます。
病気がある人とない人では、病気がある人の方が死亡率は高くなるのは必然です。それを無視するのは明らかにおかしいと思います。
なぜBMIが低いと死亡率が高くなるのかは、「必要な栄養が十分に摂れていないから」だと考えます。つまり、栄養失調という隠れた病気が潜んでいるのです。
私は

| 意味 | 反映するもの | 上昇すると | |
|---|---|---|---|
| 収縮期血圧 | 心臓が収縮して血液を大動脈に押し出す瞬間の圧力 | ・心臓のポンプ力(心筋の収縮力) ・大動脈の柔軟性(動脈硬化があると血圧上昇) ・一回拍出量 | 心臓が過剰に働いていることを示しており、心臓への負担が増大していることを示唆 |
| 拡張期血圧 | 心臓が拡張して次の拍動に備えている間の最低圧力 | ・末梢血管の抵抗(細い血管の詰まりや収縮) ・血液の粘性(ドロドロしていると抵抗が増す) ・血管の弾性 | 血管が硬くなったり、末梢の血管が狭くなったりして、血液の流れが悪くなっていることを示唆 |
血圧が上昇すると、血管の壁に強い圧力がかかり続けます。その結果、血管が硬く厚くなり、動脈硬化が進みます。
動脈硬化は、血管が狭くなったり詰まったり、あるいは破れたりと、名前とは裏腹に血管がもろくなった状態です。
そのため脳卒中(脳血管の病気)や心疾患などの合併症の発生率や死亡率が高くなっていきます。血圧をコントロールすることが重要です。
| 臓器 | 合併症 |
|---|---|
| 脳 | 脳出血・くも膜下出血(血管が破れる)、脳梗塞(血管が詰まる) |
| 心臓 | 心不全(ポンプ機能が低下)、心筋梗塞・狭心症(血管が詰まる) |
| 腎臓 | 慢性腎臓病・腎不全 |
| 血管 | 大動脈瘤(破れたら即死)、閉塞性動脈硬化症(足の血管が細くなり歩行障害) |
| 血圧区分 | 収縮期/拡張期血圧 | 相対的リスク | 合併症発生率 | 心血管疾患死亡率 |
|---|---|---|---|---|
| 至適 | <120/<80 | 最も低い | (基準) | (基準) |
| 正常 | 120-129/80-84 | やや上昇 | わずかに上昇 | わずかに上昇 |
| 正常高値 | 130-139/85-89 | 明確に上昇 | 脳卒中・心疾患のリスク増加 | 上昇傾向 |
| 軽症高血圧 | 140-159/90-99 | 高い | 男性で脳卒中の29%、 女性で17%に寄与 | 最大の寄与割合 |
| 中等度高血圧 | 160-179/100-109 | 非常に高い | 合併症リスク急増 | 大幅上昇 |
| 重症高血圧 | ≧180/≧110 | 極めて高い | 相対危険度は高いが人口割合は少ない | 死亡率は高いが寄与割合は小さい |
良好に血圧をコントロールするためには、早めに受診し、早めに治療を開始するのが望ましいです。どんな病気でもそうですが、進行した病気をコントロールするのには骨が折れます。
ただし、合併症がある場合は、合併症に応じた専門の科にかかる必要がある場合があります。
糖尿病は実に様々な疾患を合併します。代表的な疾患を取り上げてまとめます。

・糖尿病性神経症(しびれ、自律神経障害など)
・糖尿病性網膜症(視力低下、失明)
・糖尿病性腎症(腎不全、透析)
・脳卒中(脳梗塞、脳出血)
・虚血性心疾患(心筋梗塞、狭心症)
・末梢動脈疾患(歩行障害、壊疽)
が有名なところです。ですが、それだけではありません。
・癌(肺癌、肝癌、膵癌など、いろいろな癌)
・精神疾患(認知症、うつ病など)
・感染症(肺炎・尿路感染・皮膚感染など)
・眼疾患(黄斑浮腫、白内障などによる視力障害)
・性機能障害(勃起障害、月経異常)
・歯周病
・骨粗鬆症
・意識障害(低血糖、高血糖、ケトアシドーシス)
などなど、たくさんあります。これだけいろんな合併症を生み出す疾患は、糖尿病以外にはそうそうありません。
ですので、糖尿病と診断される前に手を打ちたいところです。
| 指標 | 意味 | 反映期間 | 特徴 | 注意点 |
|---|---|---|---|---|
| 血糖 | 血液中のブドウ糖濃度 | その瞬間 | ・今の血糖状態がわかる ・食事・運動・ストレスで変動しやすい | ・その時の食事や運動の効果を反映 ・全体的な状態は反映しない |
| ヘモグロビンA1c | 赤血球のヘモグロビンに糖が結合した割合 | 過去1〜2か月の平均血糖 | ・長期的コントロールの評価になる ・日々の変動に左右されにくい ・合併症リスクと関連が明確 | 赤血球寿命によって値が変動 |
| 尿糖 | 尿に排泄されたブドウ糖 | 数時間〜1日の血糖反映 | ・血糖値が約160〜180mg/dLを超えると尿に出る ・食後高血糖を反映できる | ・腎臓の閾値に依存(個人差) ・全体的な状態は反映しない |
| 血糖値(mg/dL) | 判定 | 合併症・死亡率の傾向 |
|---|---|---|
| <100 | 正常 | 健常者の基準 |
| 100-109 | 正常高値 | 境界型への移行リスクあり |
| 110-125 | 空腹時高血糖(境界型) | 糖尿病発症リスク上昇、動脈硬化進行の可能性 |
| ≧126 | 糖尿病型 | 網膜症・腎症・神経障害などの合併症リスクや死亡率上昇 |
| 血糖値(mg/dL) | 判定 | 合併症・死亡率の傾向 |
|---|---|---|
| <140 | 正常 | 健常者の基準 |
| 140-199 | 境界型(耐糖能異常) | 糖尿病予備群、動脈硬化リスク上昇 |
| ≧200 | 糖尿病型 | 食後高血糖は、動脈硬化・心筋梗塞・認知症リスクの独立因子 |
| ヘモグロビンA1c(%) | 判定 | 合併症・死亡率の傾向 |
|---|---|---|
| <5.6 | 正常 | 健常者の基準 |
| 5.6-5.9 | 正常高値 | 境界型への移行リスクあり |
| 6.0-6.4 | 境界型(前糖尿病) | 糖尿病発症リスク上昇、早期介入が重要 |
| 6.5-6.9 | 糖尿病型(軽度) | 網膜症・腎症・神経障害のリスクが顕著に上昇 |
| 7.0-7.9 | 糖尿病型(中等度) | 合併症進行リスク上昇、死亡率も上昇傾向 |
| ≧8.0 | 危険水域 | 失明・透析・心血管死などのリスク急上昇 |
| ≧9.0 | 生命への脅威 | 明確な死亡率上昇、緊急治療が必要 |
糖尿病は突然発症するわけではありません。糖尿病を発症する以前から、食後高血糖、尿糖など、耐糖能異常と呼ばれる発症前期があります。
糖代謝検査は空腹時で行うことが多いかもしれませんが、実は食後に行うことで早期の異常を発見できます。
その早期の異常を早めに見つけて、日常生活の改善を行えば、糖尿病を発症せず、大きな合併症を防ぐことができます。
そもそも、日常生活に問題があると自覚しているのであれば、日常生活を改善してしまえば、特に検査を意識する必要はありません。
ただし、合併症がある場合は、合併症に応じた専門の科にかかる必要がある場合があります。
将来の心筋梗塞や脳梗塞などの重大な病気のリスクを予測するために非常に重要な意味を持っています。

| 項目 | 役割 | 基準値 |
|---|---|---|
| LDLコレステロール | 血管に脂質を運搬する。過剰だと動脈硬化の原因になる。 | 一般的には<160 |
| HDLコレステロール | 血管から余分な脂質を回収し、動脈硬化を防ぐ。 | ≧40 |
| 中性脂肪 | エネルギー源になる。過剰になると体脂肪の元になる。 | <150(空腹時) |
| LDLコレステロール値(mg/dL) | リスク傾向 | 関連疾患・死亡率 |
|---|---|---|
| <70 | 低過ぎ注意 | 癌死亡率・全死因死亡率上昇 |
| 77-99 | 心血管疾患予防に推奨 | 動脈硬化予防に有効(高リスク者向け) |
| 100-129 | 標準的 | 一般的な目標値 |
| 130-159 | 増加傾向 | 動脈硬化進展、心筋梗塞リスク上昇 |
| 160-189 | 高リスク | 冠動脈疾患・脳梗塞リスク上昇 |
| ≧190 | 非常に高リスク | 早期に心血管疾患発症 |
| HDLコレステロール値(mg/dL) | リスク傾向 | 関連疾患・死亡率 |
|---|---|---|
| <40 | 高リスク | 虚血性心疾患・ラクナ脳梗塞・脳内出血死亡率上昇 |
| 40-59 | 標準的 | 一般的な目標値 |
| 60-89 | やや低リスク | 心血管疾患予防に有利 |
| ≧90 | 極端に高値 | アテローム性心血管疾患死亡率・脳梗塞リスク上昇 |
| 中性脂肪値(mg/dL) | リスク傾向 | 関連疾患・死亡率 |
|---|---|---|
| <50 | 低すぎ注意 | 癌死亡率上昇 |
| 50-149 | 標準的 | 一般的な目標値 |
| 150-199 | 増加傾向 | 脂肪肝・糖尿病予備軍増加 |
| 200-499 | 高リスク | 動脈硬化進展、膵炎・心血管疾患リスク上昇 |
| ≧500 | 非常に高リスク | 急性膵炎・早期心血管疾患・死亡率上昇 |
しかし疾患発症や死亡リスクは、悪玉コレステロールが低ければ低いほどいいと言うわけではなく、善玉コレステロールが高ければ高いほどいいということではない、ということです。
適度な状態に保つ必要があるということですね。そもそも、コレステロールや中性脂肪は、細胞膜やホルモン、エネルギーなどの原料になる、生命維持活動に必要な物質です。
普通の人であれば、ある程度の脂質は必要なのです。
ちなみに、以前はコレステロール摂取基準量がありました。しかし、最近の疫学研究の多くではコレステロール摂取量(または卵摂取頻度)と動脈硬化に起因する疾患の発症や死亡率との間に一貫した関連がないことから、コレステロール摂取基準量はなくなりました。
ただし、合併症がある場合は、合併症に応じた専門の科にかかる必要がある場合があります。
しかし、その検査項目のそれぞれの意味合いは少し変わります。

肝機能検査に含まれていますが、実際には肝臓、心臓、腎臓、筋肉、赤血球など、様々な細胞の中に多くある酵素です。
細胞に障害が加わった時、細胞の中から血液中に漏れ出してくるため、細胞障害の程度を反映しています。
GOT(AST)と同じく細胞の中に多くある酵素ですが、比較的限られた臓器に存在しています。特に肝臓の特異性が高いため、主に肝臓の状態を反映します。
日本肝臓学会ではGPT(ALT)>30でかかりつけ医を受診し、その後の治療方針を決めるように勧めています。
主に肝臓や胆道にある酵素ですが、GOT(AST)やGPT(ALT)と違い、γ-GTPは細胞障害を反映するのではありません。
肝臓への負荷の大きさや、胆道を流れる胆汁の流れの悪さを反映しています。健康診断で異常を指摘された場合は、アルコールなど肝臓の負荷増大を反映していることが多いです。
これらの項目の上昇パターンで疾患と推定していきます。
| 上昇パターン | 想定される病態・疾患 | 解説 |
|---|---|---|
| GOT>GPTの上昇 | アルコール、肝硬変、心筋梗塞、骨格筋障害 | アルコール性ではGOT有意。心筋梗塞や骨格筋障害ではGOT単独上昇。 |
| GOT<GPTの上昇 | 急性肝炎、脂肪肝、薬剤、B・C型慢性肝炎 | 肝細胞障害が強いとGPTが優位に上昇。 |
| γ-GTPのみ上昇 | アルコール、脂肪肝、薬剤、自己免疫性肝疾患 | 飲酒や薬剤、脂肪などによる肝臓の負荷増大が主な原因。 |
| GOT・γ-GTPの上昇 | アルコール、心不全 | 心不全でうっ血肝を生じると肝機能障害が出現。 |
| GPT・γ-GTPの上昇 | 脂肪肝、薬剤、自己免疫性肝疾患 | 脂肪肝の典型例。 |
| 3項目すべて上昇 | 急性肝炎、高度な脂肪肝、高度なアルコール性肝障害、肝硬変、自己免疫性肝疾患、薬剤、胆嚢炎・胆管炎、胆管閉塞、心不全 | どの疾患でも、病態が進行している場合はすべての項目が上昇しやすい。 |
※一般的な傾向であり、これらに当てはまらないこともあります。
肝臓は“沈黙の臓器”の代表格。一般的には肝臓が重症にならないと症状が出てこないと言われています。一方で、肝機能障害は疲れの原因になりやすいと言われています。疲れは肝機能障害を示す特異的な症状ではありませんが、肝障害がある場合は疲れの原因になっている可能性があります。
肝硬変、肝臓がん
<代謝性疾患>2型糖尿病、脂質異常症、高血圧症、高尿酸血症・痛風、メタボリック症候群
<心血管疾患>動脈硬化症、心筋梗塞・狭心症、脳梗塞・脳出血
<腎疾患>慢性腎臓病、蛋白尿・微量アルブミン尿 ※次の腎機能検査を参照してね。
<その他>睡眠時無呼吸症候群、甲状腺機能低下症、多嚢胞性卵巣症候群
など、いろんな合併症を生じます。「脂肪肝だから大したことない」と思って侮ることなかれ、ってことですね。
・B型・C型肝炎ウイルスに感染していても、肝機能が基準値内を維持していることがあります。
・GOT、GPT、γ-GTPはどれも酵素であり、蛋白質から作られています。GOT、GPT、γ-GTP<20であれば、蛋白質不足が隠れている可能性があります。
・GOTがGPTより2以上高い場合、ビタミンB6不足の可能性があります。ビタミンB群全般が足りないと判断してもいいかもしれません。
・基準値内であってもGOT<GPTであれば、脂肪肝の傾向があると考えてください。
大酒家では大球性貧血が起きやすいのです(後述)。これらはビタミンB12、葉酸の不足が原因ですが、どちらの栄養素もビタミンB群です。
またアルコール脳症はビタミンB1の不足で起こるものです。ですので、GOTがGPTより2以上高い場合は、ビタミンB群不足と思われるのです。
腎機能検査は、不要なものが身体にたまっていないか、必要なものが漏れ出していないかを検査していきます。
腎機能が機能不全、いわゆる腎不全になると人工透析の適応になる可能性があります。
人工透析は身体的にもきつく、時間も要するので人生という時間を無駄にしかねません。
人工透析の原因としては糖尿病によるものが最も多く、糖尿病と診断された人は人工透析にならないように早めに対策を打ちたいところです。

| 項目 | 意味 | 意義・役割 |
|---|---|---|
| クレアチニン | 筋肉の代謝産物。腎臓で排泄される。 | ろ過能力を反映。上昇している場合はろ過能力低下の可能性あり。筋肉量に左右される。 |
| eGFR(推算糸球体濾過量) | クレアチニン・年齢・性別から腎臓のろ過能力を推定 | より正確にろ過能力を反映。慢性腎臓病の病期ステージ分類に使用され、治療方針の基準になる。 |
| 尿蛋白 | 尿中に漏れ出たタンパク質の有無 | 腎臓のフィルター機能を反映。フィルター機能が低下すると陽性になる。発熱、激しい運動、ストレスなどによって一時的に陽性になることも。 |
| 尿中アルブミン/クレアチニン比 | 尿中アルブミン量を尿中クレアチニンで補正した値 | 尿中のアルブミンは、初期の障害でわずかに漏れ出すため、尿蛋白検査よりも早期の腎臓病、特に糖尿病性腎症の発見に有用。 |
| Gステージ | eGFR(mL/min/1.73m²) | 腎機能の程度 |
|---|---|---|
| G1 | ≧90 | 正常 |
| G2 | 60-89 | 軽度低下 |
| G3a | 45-59 | 軽度~中等度低下 |
| G3b | 30-44 | 中等度~高度低下 |
| G4 | 15-29 | 高度低下(腎不全前段階) |
| G5 | <15 | 末期腎不全(透析・移植の検討段階) |
| Aステージ | 尿中アルブミン/クレアチニン比(mg/gCr) | 尿アルブミン排泄の程度 |
|---|---|---|
| A1 | <30 | 正常~軽度増加 |
| A2 | 30-299 | 中等度増加(微量アルブミン尿) |
| A3 | ≧300 | 高度増加(顕性アルブミン尿) |
| G/Aステージ | A1 | A2 | A3 |
|---|---|---|---|
| G1 | 低リスク | 中等度リスク | 高リスク |
| G2 | 低リスク | 中等度リスク | 高リスク |
| G3a | 中等度リスク | 高リスク | 極めて高リスク |
| G3b | 高リスク | 高リスク | 極めて高リスク |
| G4 | 極めて高リスク | 極めて高リスク | 極めて高リスク |
| G5 | 極めて高リスク | 極めて高リスク | 極めて高リスク |
腎臓が悪くなると、心血管疾患の合併が増えてきます。単に腎臓だけの問題ではなくなってきます。
また腎機能が悪くなることで、使える薬剤も制限されてきますので、治療に難渋します。腎臓は大事に使っていきましょう。
主にヘモグロビン値で判断することが多いと思いますが、それぞれに検査の意味があります。
ヘモグロビンとは、血の赤い色素です。正に血の色が薄いというのは、ヘモグロビンの赤さが足りないということですね。
ヘモグロビン値は年齢や性別によって基準が異なります。

| 対象 | 貧血の基準値 |
|---|---|
| 成人男性(15歳以上) | ヘモグロビン値<13.0 g/dL未満 |
| 成人女性(15歳以上、非妊娠時) | ヘモグロビン値<12.0 g/dL未満 |
| 妊娠時 | ヘモグロビン値<11.0 g/dL未満 |
| 高齢者(男女とも) | ヘモグロビン値<11.0 g/dL未満 |
男性は女性に比べて体格が大きく、筋肉量も多いため、酸素を運ぶヘモグロビンの必要量が多く、基準値が高く設定されています。
一方、女性は月経があるため、毎月一定量の血液を失います。月経の影響もあり、男性よりもヘモグロビン値が低く設定されています。
高齢者ではヘモグロビンを産生する造血機能が低下したり、食事量の減少により栄養が偏ったりすることが多いため、若年者よりも基準値が低く設定されています。
が、赤血球数とかヘマトクリット値もありますね。どのように使っているのかも教えていきましょう。
まず赤血球数は、名前の通りで赤血球の数です。ヘマトクリット値は容積と考えてください。これらの数値を組み合わせることで、貧血を分類し、原因が推察できるのです。
貧血の分類に使う指数が「平均赤血球容積(MCV)」と「平均赤血球ヘモグロビン量(MCH)」です。
平均赤血球容積(MCV)は赤血球1個当たりの大きさ、平均赤血球ヘモグロビン量(MCH)は赤血球1個当たりのヘモグロビン量の指数になります。
平均赤血球容積(MCV)=ヘマトクリット値(%)/赤血球数(万)×1000
平均赤血球ヘモグロビン量(MCH)=ヘモグロビン値/赤血球数(万)×1000
| 指数 | 意味合い | 基準値 |
|---|---|---|
| MCV | 赤血球1個当たりの大きさ・容積 | 80~98(fL) |
| MCH | 赤血球1個当たりのヘモグロビン量 | 28~32(pg) |
| MCVの傾向 | MCHの傾向 | 疑われる貧血 | 不足が疑われる栄養素 |
|---|---|---|---|
| 低値(小球性) | 低値 | 鉄欠乏性貧血 | 鉄、ビタミンC(吸収補助) |
| 正常値(正球性) | 正常値 | 溶血性貧血、慢性炎症性貧血など | 明確にはない |
| 高値(大球性) | 高値 | 巨赤芽球性貧血 | ビタミンB12、葉酸 |
ただ貧血がなくても、MCVが90未満、MCHが30未満であれば鉄不足がある可能性があります。
大酒家の人も貧血に注意が必要です。大酒家の貧血は、一般的には大球性貧血で、MCVが100以上になることが多いです。アルコールの過剰摂取は、腸管からのビタミンB12や葉酸の吸収を阻害するためです。しかし、大酒家は飲酒の時に食べない人もいるので、いろんな栄養素が足りなくなります。そのため、一定のパターンがないケースもあります。
一般的には鉄、ビタミンB12、葉酸の栄養素が注目されますが、貧血には銅や亜鉛も関係します。特に亜鉛は欠乏しやすい栄養素ですので、積極的に摂取したい栄養素になります。
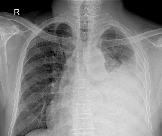
特に自覚症状に乏しい疾患のスクリーニングに役立ちます。

| 対象臓器 | 主な目的 | 発見される可能性のある疾患 |
|---|---|---|
| 肺 | 炎症・腫瘍・感染症の有無 | 肺がん、肺結核、肺炎、気管支炎、気胸など |
| 心臓 | 心臓のサイズや形の異常 | 心肥大、心不全、弁膜症、心筋梗塞の兆候など |
| 血管・縦隔 | 大動脈や血管の異常 | 大動脈瘤、動脈硬化、縦隔腫瘍など |
| 胸膜・骨 | 胸膜や肋骨の変形・癒着 | 胸膜肥厚、胸膜癒着、胸椎・肋骨変形など |
若い人でも既に曲がっている人が多く見られるようになってきました。恐らくスマートフォンやゲームなどを長時間使用することで、姿勢が悪くなっているためだと思います。
若い人では骨そのものの変形はないことが多いので、ストレッチなどで姿勢を正していけば元に戻ると思います。
自覚症状がないまま進行する心疾患のスクリーニングに役立ちます。

| 検査目的 | 詳細 | 発見される可能性のある疾患 |
|---|---|---|
| 心拍リズムの異常 | 心拍数やリズムの乱れを評価 | 不整脈(心房細動、期外収縮、徐脈・頻脈など) |
| 心筋の損傷や虚血 | 心筋の電気信号の異常を評価 | 心筋梗塞、狭心症、心筋症など |
| 心肥大や負荷 | 心臓の電気軸や波形の変化を評価 | 高血圧による心肥大、弁膜症など |
高齢化に伴い、心房細動が増えてきています。この不整脈は頻脈などで心機能が低下することがありますが、一番厄介なのは心臓内に血栓ができることです。
心臓内に留まっている血栓は問題になりませんが、この血栓が心臓から流れ出て、どこかに詰まると大きな問題になります。
特に脳梗塞を起こした場合では、梗塞範囲が広くなることが多く、重症な片麻痺にあることがあります。
また、心筋の電気信号の異常は心筋障害や負荷を表しています。心筋障害や負荷が大きい場合は心臓の働きも低下している可能性があります。
それぞれ、ある基準より小さな音が聞こえるかどうかで、聴覚が正常か判断します。

| 周波数 | 基準 | |
|---|---|---|
| 1,000 Hz | 30 dB以下 | 日常会話の中心となる高さの音 |
| 4,000 Hz | 40 dB以下 | 高音域 |
典型的なのはモスキート音という、蚊が飛ぶ音ですね。モスキート音の周波数は17,000Hz〜20,000Hzぐらいと言われています。
それが進行していくと、モスキート音より音が低い4,000Hzという聴覚検査の高い方の音が聞こえにくくなってきます。
この時点では日常生活で支障はほぼありませんが、難聴が進行していくと日常会話の中心となる1,000 Hzの音が聞こえづらくなり、耳が遠い状態になります。
最近では作業場の環境改善で少なくなりましたが、騒音が大きい職場で長時間働いている人は騒音性難聴になり、同じく4,000Hzの音が聞こえにくくなります。
音楽や動画を視聴したり、テレワークやオンライン授業などでイヤホンやヘッドホンを長時間使ったりする場面が増えています。
聴力の完全回復は困難ですので、音量を控えたり、短時間に留めたりすることが大事ですね。

健康診断は、あくまでも健康にしている人が病気になっていないか、病気になりそうになっていないかを見ていく、早期発見のための検査です。
検査を受けて異常を発見しても、放置してしまえば検査を受けた意味がなくなります。
必ず二次精査を受けるようにしましょうね。
早期で治療を開始すれば、完治して将来的に大きなメリットになることもあります。自分自身に対する投資だと考えましょう。
一方で、既に病気があり治療を受けている人では、その病気や治療法に応じて詳しい検査を必要とします。健康診断も重要ですが、かかりつけ医の先生に定期的に検査を受ける必要もあります。
生活に支障をきたす大きな病気を発症しないように、しっかり健康診断を受けていきましょうね。